
어금니 하나 때문에
치아 전체가 무너진다고?
치아의 기능은 어금니부터 송곳니, 앞니까지 전체가 유기적으로 연결되어 있습니다. 특히 교합적 측면에서 어금니는 하루에도 수천 번씩 씹는 힘을 담당하며 중추적인 역할을 합니다. 그러나 눈에 잘 띄지 않는다는 이유로, 또는 통증이 없다는 이유로 어금니의 문제를 방치하다가 큰 문제로 이어지는 경우가 생각보다 많습니다.
글 치과보철과 표세욱 교수


어금니가 깨지거나 금이 갔을 때 또는 마모가 진행된 상태에서 적절한 치료가 이루어지지 않으면, 교합 높이(물리는 높이)가 낮아지고, 주변 치아나 턱관절에도 영향을 미칠 수 있습니다. 따라서 어금니는 단순히 ‘씹는 기능’을 넘어서 구강 전체의 균형을 좌우하는 핵심적인 위치의 치아라고 할 수 있습니다.
낮게 수복된 어금니 보철물,
연쇄 교합 붕괴의 시작
보철치료 시 어금니의 교합 높이가 충분히 회복되지 않으면, 어금니를 충분히 닿게 하기 위해서 저작근이 과도하게 수축하며 강한 힘을 발생시키고, 인접한 치아에 상대적으로 더 많은 하중이 집중되면서 연쇄적인 문제로 발전할 수 있습니다. 실제 임상에서 어금니 한 개가 낮게 수복된 것을 시작으로 반대 측 어금니나 인접한 어금니, 소구치나 전치의 교합 외상, 턱관절 디스크 변위까지 다양한 문제로 확산된 사례를 흔히 봅니다. 특히 임플란트 치료가 대중화되면서 어금니에 임플란트 치료를 받은 수많은 환자에서 교합 높이가 점차 낮아지는 현상들은 현재 임상적으로 중요한 문제가 되었습니다.
어금니를 오래 쓰기 위한 보철치료, 크라운
치과보철과에서 시행하는 크라운 수복은 단순히 손상된 치아를 깎아서 덮는 치료가 아닙니다. 특히 어금니는 씹는 힘이 집중되기 때문에 남아 있는 치아 구조의 두께와 파절 양상, 마모 정도, 하중 방향 등을 먼저 정밀하게 평가해야 합니다. 최근에는 디지털 스캔 기술이 도입되어 개인 치아의 형태를 3차원적으로 분석하고, 전체 교합 상태를 그 자리에서 확인할 수 있습니다. 진단 이후에는 크라운을 어떤 재료로, 어떤 두께와 형태로 수복할지 결정하며, 하중 분산, 상하악 교합 관계, 반대편 치아와의 공간, 유지력을 고려한 치아 높이 등이 치료 계획에 포함됩니다. 보철물 재료도 매우 중요한 요소인데, 어금니는 기능이 우선되는 부위이므로 재료의 파절 측면에서 저항성이 강한 금합금이 가장 좋은 재료로 간주되어왔습니다. 그러나 오늘날 디지털 기술과 함께 도입된 지르코니아 재료는 치아 형태의 복제 편의성, 마모 저항성, 연조직 친화성과 심미성 측면에서 우수한 재료로 각광받으며, 현재 임상에서 가장 널리 사용되고 있습니다. 결국 크라운 수복은 기능, 심미, 생역학적 안정성을 동시에 달성해야 하는 정밀한 재건술이며, 특히 어금니처럼 하중이 집중되는 치아일수록 보철적 접근이 더욱 중요합니다.
씹는 근육이 강할수록 치아는 약해진다!
나이가 들수록 신체의 여러 기관이 서서히 약해지듯, 치아도 점차 마모되고 미세한 금이 생기거나 주위 조직이 약해집니다. 이때 딱딱한 음식 섭취를 즐기거나, 이를 악무는 습관, 특히 윗니와 아랫니를 지그시 물고 있는 습관 등이 오랜 시간 누적되면 저작근이 과도하게 발달합니다. 문제는 이렇게 강한 근육의 힘을 상대적으로 약해진 치아가 그대로 견뎌야 한다는 점입니다. 교합력이 지나치게 강한 경우에는 저작근의 긴장을 완화하기 위해 보톡스 주사 치료를 병행하는 것이 효과적입니다. 만약 한 번이라도 어금니에 금이 간적이 있거나 어금니 부위에 시린 증상이 반복된다면 단순한 증상으로 넘기지 말고 조기에 치과 검진을 받아야 합니다. 특히 보철물이 있는 경우에는 교합 높이가 낮지 않은지 보철물의 교합·치아 마모 상태를 보철과 전문의에게 점검을 받는 것이 중요합니다. 어금니의 문제는 결코 하나로 끝나지 않습니다. 보이지 않는 곳에서 시작된 마모나 미세 파절이 결국 전체 치열의 균형을 무너뜨릴 수 있다는 사실을 기억해야 합니다.

교합력이 점차 강해지고 있는 임상적 신호들. 1. 치아 목 부분이 패이는 다수의 굴곡파절(abfraction) 2. 소구치 교합면의 중등도 마모 및 파절 3. 대구치의 치은 퇴축 및 치근 노출 4. 치조골에 보이는 전반적인 골융기(exostosis) 5. 하악 설측에 나타나는 하악골융기(torus) 6. 협측 구강점막에 백색선(linea alba)으로 나타나는 치아 자국.
중장년 교정치료 효과도
적을 것 같은데 꼭 해야 할까?
많은 분이 교정치료는 청소년기나 그보다 더 어린 시기에만 가능하다고 알고 있지만 그렇지 않습니다. 중장년층도 교정치료를 함으로써 치아를 아름답게 배열할 뿐 아니라 기능적으로도 좋은 구강 상태를 만들 수 있습니다.
글 치과교정과 이지현 교수


교정치료를 했을 때 얻을 수 있는 심미적인 이점은 잘 알려져 있지만 기능적인 이점은 잘 모르는 경우가 많습니다. 중장년기에 노화에 의해 점점 약해지는 잇몸에 대비하여 치아들의 위치나 맞물림 등을 개선하거나 치아를 고르게 배열하는 것은 장기적인 관점에서 건강한 치아와 잇몸을 유지하는 데 매우 중요합니다. 교정치료를 하고 싶었지만 여러 사정상 미루었던 분들이나, 최근 들어 앞니 틀어짐이 심해졌거나, 치과에서 보철치료 전 교정치료를 권유했다면 나이는 큰 문제가 되지 않으므로 병원에 내원해 전문의와 상담하기를 권장합니다.
중장년 교정치료가 필요한 이유
치아와 잇몸 건강 유지 나이가 들면서 잇몸 주위 뼈가 내려가면 치아를 잡아주는 힘이 약해져서 앞니가 잘 틀어집니다. 특히 아래 앞니가 쉽게 틀어지는데 나이가 들면 위 앞니보다 아래 앞니가 더 보이는 경향이 있어 심미적으로 좋지 않을뿐더러 음식물이 잘 끼고 양치도 어려워집니다. 심하게 틀어지면 치아 뿌리가 뼈 밖으로 밀려나기도 하는데 이런 경우 치아가 흔들리고 잇몸이 많이 약해질 수 있습니다. 따라서 치아를 원래 위치로 옮기고 잇몸 뼈 안에 뿌리가 안전하게 잘 위치할 수 있도록 해주는 것이 잇몸 건강을 위해서 좋습니다. 또한 가지런한 치아는 양치 관리가 쉬워지므로 결과적으로 잇몸 건강을 지킬 수 있습니다.
보철치료(임플란트 등) 전 준비 치아를 상실하여 임플란트를 해야 할 때 빠진 이 주위의 치아들이 기울어져 있거나 자리가 좁아 이상적인 형태의 보철물을 만들기 어려운 경우가 많습니다. 치아를 상실한 지 오래될수록 치아가 기울어지는 정도가 심한데 이는 치아들이 빠진 이 공간으로 움직이려는 경향이 있기 때문입니다. 이런 경우 보철치료를 하기 전에 기울어진 치아들을 원래대로 바로 세우고 자리를 만들어주어야 좋은 보철물이 만들어질 수 있고 주변 치아들도 오래도록 건강하게 유지할 수 있습니다. 급한 마음에 교정치료를 하지 않고 보철치료를 한다면 보철물의 형태를 변형하여 어떻게든 공간을 메울 수는 있겠지만 그럴 경우 몇 년이 지나 결국 보철물을 다시 만들거나 주변 치아들이 약해질 수 있으니 주의해야 합니다.
균형 잡힌 교합(치아 맞물림)으로 치아 수명 연장 잘못된 교합은 특정 치아에 과도한 힘을 가하게 되어 치아가 파절되거나 마모될 수 있으며 잇몸 건강도 해칠 수 있습니다. 잇몸이 약해진 중장년은 균형 잡힌 교합으로 힘이 고루 분산되게 하는 것이 치아와 잇몸 건강을 위해 중요합니다.
자신감 향상과 삶의 질 개선 기대수명이 100세에 육박하는 요즘, 60~70대에 교정치료를 받는 것이 이상할까요? 치열이 고르면 자신감이 생길 뿐 아니라 건강한 치아를 오래도록 보존할 수 있어 삶의 질이 향상될 수 있습니다.
치료 방법(장치 종류)
요즘에는 눈에 잘 띄지 않고 불편함을 최소화한 교정장치들이 다양하게 개발되어 힘들지 않게 교정치료를 받을 수 있습니다. 중장년 교정치료 시 사용되는 장치는 크기가 좁쌀보다도 작습니다. 또 탈착이 가능한 투명한 장치도 있는데, 매우 심미적이고 이물감이 적다는 게 장점입니다.
중장년 교정치료 시 주의할 점
치석이 많거나 잇몸이 안 좋은 경우에는 먼저 잇몸 치료를 한 후 교정치료를 시작하는 것이 좋습니다. 또한 당뇨, 관절염, 골다공증으로 인해 약물을 복용 중이라면 미리 교정전문의에게 알려주어야 합니다. 약물에 따라서는 치아 이동 속도에 영향을 주는 것도 있으므로 약물 복용 시점 또는 주사 시점을 늦추거나 교정치료 스케줄에 맞추어 조절해야 합니다. 마지막으로 중장년 교정은 광범위한 치료보다는 짧은 기간에 최대의 효과를 볼 수 있는 간단한 치료가 좋으므로 의사와 상의하여 합리적 치료계획을 세워 치료를 받으면 만족도가 높을 것입니다.

투명장치를 이용한 틀어진 앞니 교정
사랑니 발치의 오해와 진실
“사랑니를 꼭 뽑아야 하나요?” 구강악안면외과에서 환자들이 흔히 하는 질문 중 하나입니다. 소위 ‘사랑니’라고 불리는 제3대구치는 통상적으로 20세 전후에 맹출합니다. 턱뼈의 크기와 주변 치아들의 위치에 따라서 전체가 다 맹출하는 경우도 있지만, 대부분은 부분적으로 맹출하거나 묻혀 있습니다. 그래서 증상이 있어서 병원에 내원하기도 하지만 다른 이유로 치과를 방문했다가 발견되어 발치를 권유받는 경우가 많습니다. 사랑니, 꼭 뽑아야 할까요?
글 구강악안면외과 김재영 교수


일부 환자들은 “사랑니를 뽑는 게 좋다고 들었어요”라고 말하지만, “사랑니를 꼭 뽑아야 한다고 들었어요”라고 말하는 분들도 계십니다. 치과에서 꼭 뽑아야 한다고 말했을 수도 있지만, 환자들의 주관적인 해석도 섞여 있을 수 있다고 생각됩니다.
이러한 질문의 기저에는 발치에 대한 공포감이 많이 있다고 생각됩니다. 실제로 사랑니를 뽑고 나면 통증과 부종이 동반되는 것이 사실입니다. 통상적으로 48시간 정도까지는 우리 몸에서 정상적인 염증반응이 진행되므로 통증이 발생하고 급격하게 부종이 생기게 됩니다. 붓는 것은 48시간 정도까지 급격히 진행되지만 회복은 천천히 진행되며, 통상적으로는 1주일 정도 지나면 대부분 괜찮아집니다.
그래도 발치를 권장하는 이유
사랑니 발치와 관련하여 신경 손상을 걱정하시는 분도 많습니다. 아래턱으로 지나가는 하치조신경이 사랑니와 근접하기 때문입니다. 사랑니 발치와 관련하여 하치조신경의 손상 빈도는 문헌에 따라 차이는 있으나 대략 1% 미만으로 알려져 있습니다. 또한 일시적인 손상이 대부분이나 드물게 영구적인 감각저하나 이상감각 등이 발생할 수도 있습니다.
이러한 문제는 발치 시술자가 직접적으로 신경에 손상을 주었다기보다는 사랑니가 빠져나오면서 발생하는 간접적인 충격에 의한 경우가 더 많습니다. 하치조신경뿐만 아니라 혀신경도 근처로 주행하기 때문에 아주 드물게 혀의 감각저하를 호소하는 경우도 있습니다. 특히 일부에서는 특이하게 아주 미세한 신경가지들이 어금니 뒤쪽으로 주행하기 때문에 의도치 않게 이러한 손상이 발생할 수도 있습니다. 위턱의 경우에는 사랑니가 상악동과 가까우면 상악동염이 발생할 수도 있습니다.
그럼에도 불구하고 사랑니를 발치하지 않는 경우 사랑니 주변에 염증(치관주위염)이 발생하거나 주변 치아에 충치, 치주염 등의 문제가 발생할 수 있습니다. 또한 컨디션이 나쁠 때 이러한 증상이 심해지면 주변 조직으로 염증이 파급되어 입원 치료가 필요한 경우도 더러 있습니다. 따라서 증상이 있는 사랑니의 경우 언제든지 문제가 재발하거나 심해질 수 있기 때문에 되도록 발치하는 것이 좋습니다. 또 증상이 없는 사랑니도 이러한 질환을 예방하기 위해서 시술자와 환자가 잘 상의해서 발치 여부를 결정해야 할 것입니다. 증상이 없는 사랑니를 발치하지 않는 경우에도 주변 치아에 충치나 치주염이 발생하지 않는지 주기적으로 경과를 관찰해야 합니다.
사랑니 발치의 적절한 시기는 20세 전후
특히 치과에서 자주 촬영하는 2차원적인 파노라마 방사선 사진상에서는 사랑니가 완전히 묻혀 있는 것처럼 보이지만 3차원 컴퓨터 단층촬영 시에는 볼이나 혀 쪽 상방에 뼈가 없는 경우가 있습니다(그림). 이러한 경우 중년에 증상이 발생하여 내원하는 분이 더러 있습니다. 따라서 파노라마 방사선사진에서 사랑니가 완전히 뼈에 묻혀 있는 것으로 관찰되는 경우에도 추적 관찰이 필요할 수 있습니다.
어떤 이유든 사랑니를 발치하는 시기는 사랑니 뿌리가 2/3정도 만들어진 시기 또는 20세 전후가 적절합니다. 사랑니 뿌리가 뾰족하게 완전히 성장하면 발치 시 신경을 다칠 가능성이 더 커지고, 30세가 넘어가면 뼈가 단단해져서 발치하는 시간이 더 오래 걸리고, 발치 시 또는 발치 후 통증도 더 많이 느끼게 됩니다.
사랑니 발치 시 치아를 분할한다고 해서 더 어렵거나 그냥 뺀다고 해서 더 쉬운 것은 아닙니다. 똑바로 맹출된 것으로 보이는 사랑니를 발치하기가 더 어려운 경우도 있습니다. 따라서 사랑니가 신경과 가까워 보이고 누워 있다고 해서 막연한 두려움을 가질 필요는 없으며, 구강악안면외과 전공의 또는 전문의들과 상의해 본인에게 필요한 진료를 받으시면 됩니다. 사랑니와 관련한 진단이나 치료를 원하실 때에는 언제든 강남세브란스 치과병원 구강악안면외과의 문을 두드려주시길 바랍니다. 정확한 진단과 알맞은 진료로 다가가겠습니다.

Panoramic view 사랑니발치/ ct 사랑니발치
갑자기 치아가 어두워 보인다면
나이 탓일까?
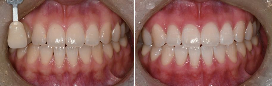
코로나 팬데믹을 거친 지 3년이 넘어 이제는 마스크 없는 일상을 되찾았습니다. 그런데 어느 날 거울에 비친 내 치아가 유난히 어둡고 누렇게 느껴져서 활짝 웃지 못할 때가 있습니다. 유난히 누렇게 보이는 내 치아들을 밝게 만들 수 있는 방법이 있습니다. 어두워진 치아를 다시 밝게 만드는 치아 미백을 통해서 모두 아름다운 미소를 되찾으실 수 있기를 기원합니다.
글 치과보존과 신수정 교수


치아가 어두워지는 다양한 원인
치아가 어둡게 보이는 원인은 다양합니다. 가장 흔한 원인은 나이가 들면서 치아가 마모되고 음식물의 색소가 침착되기 때문입니다. 치아는 법랑질과 상아질이라는 두 개 층으로 만들어져서 표면의 투명하고 흰 법랑질이 닳으면 안쪽의 누런 상아질이 좀 더 도드라져 보입니다. 또 담배, 커피, 차, 와인 등이 치아 표면에 착색을 일으키기도 합니다. 만약 치아를 다친 적이 있는데 한두 개 치아만 많이 어둡게 보인다면 치아 안쪽의 신경(치수)이 다쳐서 신경치료가 필요한 상황일 수도 있습니다. 드물기는 하지만 어린 시절 치아가 만들어질 때 특정 항생제를 복용해 치아가 어두워진 분도 있는데요. 이 경우 치아 안쪽이 어두워진 상황이라 일반적인 미백치료로는 효과를 얻기 힘들 수도 있습니다.
다양한 치아 미백치료 방법
나이가 들면서 음식물 섭취로 서서히 치아가 어두워진 경우에는 치아 표면에 미백제를 발라서 색소를 제거하는 방식인 생활치 미백을 할 수 있습니다. 카바마이드 퍼옥사이드 등 미백제가 치아 표면의 색소들과 반응하는 원리입니다. 진료실에서 광선을 쬐면서 1~2시간 미백제를 발라서 치아를 밝게 만들거나, 치아의 본을 떠서 특수한 틀을 만들어서 집에서 미백제를 넣고 장치를 끼우는 방법을 사용하게 됩니다. 상황이나 생활습관 등에 따라서 주치의가 적절한 미백 방식과 시기, 횟수 등을 정하게 됩니다. 만약 치아를 다쳐서 안쪽의 신경이 죽어서 어두워진 경우라면 치아 안쪽의 근관(신경)치료를 먼저하고 치아 내부에 미백제를 넣어서 밝게 하는 실활치 미백치료를 합니다.
치아 미백을 받는 동안 이것만은 조심!
많은 분이 ‘미백을 하면 치아가 약해지지 않나요?’라는 질문을 합니다. 치아 표면에 발라서 밝게 만드는 미백제는 치아의 구조를 약하게 만들지는 않는 것으로 보고되고 있습니다. 다만 미백을 하는 동안 일시적으로 치아가 좀 더 시리다는 경우가 있는데 그때는 미백 시간을 줄이거나 중단하면 다시 정상으로 회복됩니다. 집에서 장치 안에 미백제를 넣어서 미백을 하는 경우 과량의 미백제가 잇몸에 닿아서 일시적으로 잇몸에 자극을 줄 수 있으나 이 역시도 일시적인 불편함이 대부분입니다. 전반적으로 미백치료는 안전한 진료이지만, 처음에는 주치의가 치아가 어두워진 원인을 살펴보고 적당한 미백 방법을 찾아서 진행하는 것이 가장 안전합니다. 미백을 받는 동안은 치아가 밝아지는 만큼 음식물에 의해서 어두워지기 쉬운 시기입니다. 커피나 와인 등 기호식품 섭취를 줄이고 특히 흡연자라면 담배를 끊고 진행하는 것을 추천합니다.
미백치료에 나이는 불문
앞니에 충치치료나 크라운치료를 받은 분들은 먼저 주치의가 치아 상태를 한번 평가해보고 미백치료를 결정하는 것이 좋습니다. 앞니 충치를 치료하는 재료인 레진이나 크라운은 미백제를 도포해도 밝아지지 않습니다. 따라서 전체적으로 치아가 밝아지기를 원한다면 기존에 치료했던 부위의 색조와 조화되는지 등을 먼저 검사해보는 것이 좋습니다.
미백 전 치아는 깨끗한 상태여야 합니다. 그래서 양치가 잘 되지 않는 부분을 점검받아서 관리에 신경을 써야 하고 스케일링도 미리 받는 것을 추천합니다. 마지막으로 미백치료로 치아가 밝아졌다고 해도 영원히 지속되는 것은 아닙니다. 다시 음식물을 섭취하는 과정에서 예전처럼 누렇게 되지는 않아도 서서히 어두워지는 경험을 하게 됩니다. 미백 후 다시 치아가 어두워졌다면 1년 정도 지난 후 미백치료를 추가로 받아서 밝은 색조를 유지할 수 있습니다.
미백치료는 아주 젊은 분들만 미용 목적으로 한다고 생각하는 경우가 많은데 실제로 진료실에서 미백치료를 해보면 중년을 훌쩍 넘긴 분들이 치아가 많이 밝아져 크게 만족해하는 경우가 더 많습니다. ‘설마 내 나이에 미백치료까지’라고 망설이고 있다면 가벼운 마음으로 치과보존과를 방문해주세요.

미백 전후
성공적인 임플란트의
첫 번째 관문
치주질환 관리
치주조직은 치아 주위를 둘러싸고 있는 조직을 말합니다. 잇몸병, 풍치라고도 부르는 치주질환은 만성적인 세균감염이 치아를 지지하는 치조골과 잇몸에 악영향을 주는 상태입니다. 치태 세균에 의해 만성 염증반응을 일으켜 치아를 지탱해주는 뼈를 파괴하여 치아가 흔들리게 됩니다. 건강하게 오래 살기 위해서는 튼튼한 잇몸 유지가 필수입니다.
글 치주과 이동원 교수


전신 질환과 연관된 치주질환
30세 이상의 성인 중 1/3 이상은 치주질환을 갖고 있습니다. 최근에는 치주질환이 심장질환, 당뇨병, 호흡기질환, 저체중아 출산과 관련이 있다고 밝혀지고 있습니다. 이러한 치주질환의 주된 원인으로 치태(치아 표면에 붙어 있는 박테리아 필름)가 지목됩니다. 칫솔질을 꼼꼼하게 하지 않아 치아 표면에 치태가 잔존하게 될 경우 잇몸에 염증을 유발하는 기전이 가장 일반적인 치주질환의 발병론이라 할 수 있습니다. 치태 외에도 흡연, 전신 건강상태, 스트레스, 장기적인 약 복용, 유전, 호르몬 변화, 영양불균형 등이 치주질환에 영향을 줍니다.
건강한 치주와 임플란트를 위한 필수 단계,
잇몸 뼈 만들기
치주질환이 많이 진행되어 치아의 기능이 사라지거나 임플란트를 식립하기에 뼈가 부족한 경우를 보게 됩니다. 치주과에서는 이런 환자들을 위해 인공 뼈를 이식하는 시술을 합니다. 임플란트가 불가능하다고 판단한 부위에 임플란트를 식립할 수 있을 뿐 아니라 더 적절한 위치와 방향으로 임플란트를 식립함으로써 임플란트의 장기간 예후를 좋게 할 수 있습니다. 또한 잇몸 뼈 이식 후에 잇몸 형태를 양호하게 유지함으로써 심미적인 임플란트 치료를 할 수 있습니다.
임플란트의 보호자, 연조직
치주과 주도 연구에서 임플란트 위를 덮고 있는 연조직이 임플란트를 둘러싼 뼈를 보호하는 기능을 한다는 사실이 밝혀졌습니다. 치주과에서는 단순히 임플란트를 뼈에 식립하는 것에 그치지 않고 그 위를 덮고 있는 연조직을 건강하게 유지하는 임플란트 시술에 초점을 맞춰 치료합니다. 예를 들어 자연치아에 시행하던 각종 잇몸 이식수술을 임플란트에 적용하여 성공적인 결과를 얻고 있습니다. 이러한 부가적인 술식은 장기적으로 성공적인 임플란트를 위해 필수적인 과정으로 인식되고 있습니다.
주변이 깨끗해야 임플란트도 튼튼
나이가 들어 임플란트를 필요로 하는 분은 대부분 치주염을 갖고 있습니다. 따라서 식립된 임플란트 주위에는 치주염에 이환된 치아들이 도사리고 있습니다. 이러한 잠재적인 위험 요소를 진단·예방·치료하는 것이 치주과의 새로운 역할로 떠오르고 있습니다. 전 세계적으로도 임플란트 학계에서 치주염과 임플란트 주위염의 관계가 최고의 화두로 떠오르고 있습니다. 각 학회에서 내린 공통적인 결론은 임플란트 주변 치아에 치주염이 생기지 않도록 하는 것이 장기적인 임플란트의 성공에 필수적인 요소라는 것입니다. 강남세브란스병원 치주과는 임플란트 술식 전에 주변 치아의 치주염에 대해 철저한 선 치료를 원칙으로 시행하여 현재 임플란트 성공률 99%의 성과를 보이고 있습니다.
평생 관리가 필요한 임플란트
임플란트 치료를 받은 후 제대로 관리하지 못하거나 남아있는 치아의 치주염을 치료하지 않은 상태에서 임플란트 치료를 하게 되면 치주염에 걸린 치아의 세균에 의해 임플란트 주위 조직도 감염될 수 있습니다. 이를 임플란트 주위염이라고 하며, 치주염과 마찬가지로 세균성 치태와 치석이 임플란트를 따라 증식하고 임플란트를 지탱해주는 잇몸 뼈를 파괴할 수 있습니다. 이러한 임플란트 주위의 염증이 계속 진행된다면 치주염이 심하게 진행된 자연치아를 뽑아야 하는 것과 마찬가지로 임플란트를 뽑게 될 수도 있으므로 전문가의 정기적인 검진과 치료가 필수입니다. 또한 치료된 자연치아도 생활습관에 따라 언제든지 치주염이 재발할 수 있듯, 임플란트 주위염도 재발 가능성이 높으므로 각별히 주의해야 합니다.

치주질환이 없는 건강한 잇몸은 출혈이 되지 않으며 골소실이 없다